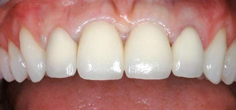
Licówki to cienkie płytki porcelanowe, które rozwiązują problem nieestetycznego uśmiechu. Doskonale sprawdzają się zwłaszcza wtedy, gdy pacjent posiada przebarwione, stłoczone lub uszkodzone zęby – licówki przyklejane są bezpośrednio i stanowią ich nowe fronty. Niestety, wielu z nas ma obawy, gdyż nie wie, w jaki sposób przebiega zabieg i czy jest bolesny. Zupełnie niepotrzebnie!
Wybierz specjalistę
Wybór wykwalifikowanego stomatologa-protetyka współpracującego z renomowanymi laboratoriami protetycznymi to gwarancja doskonałych efektów na długie lata. Właśnie dlatego, przed podjęciem decyzji o leczeniu, warto dowiedzieć się więcej na temat lekarzy, którzy oferują estetyczną odmianę uśmiechu. Dobrze dobrane, solidne materiały oraz doskonały kunszt protetyczny zapewnią nie tylko piękny efekt wizualny, ale także zabieg przeprowadzony bez bólu i zdrową jamę ustną.
Zastanów się, jaki efekt chcesz uzyskać
Aby w pełni cieszyć się estetycznym uśmiechem za sprawą licówek porcelanowych, zastanów się, jaki efekt końcowy będzie satysfakcjonować Cię najbardziej. Jeśli zawsze marzyłeś o uśmiechu bielszym o kilka tonów, jeszcze przed założeniem licówek porcelanowych, zapytaj stomatologa o możliwość wybielenia wszystkich zębów. Licówki wówczas będzie można dobrać w jaśniejszym kolorze tak, aby pasowały do reszty bielszych zębów. Kolor licówek porcelanowych dobierany jest indywidualnie i ściśle według preferencji pacjenta.
Nie bój się bólu
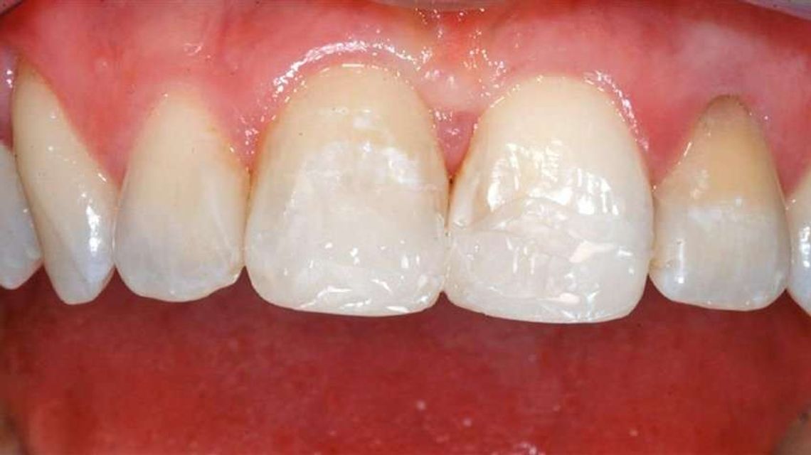
Obawiasz się, że nowy uśmiech Cię nie zadowoli? Większość specjalistów udostępnia efekty swojej pracy. Sprawdź, jak prezentują się efekty przed i po zabiegach wykonywanych przez wybranego przez Ciebie. Porównać stan zębów przed i po zabiegu możesz na przykład na stronie Kliniki Implantologii i Stomatologii Estetycznej borczyk.pl: www.borczyk.pl/gabinet-stomatologiczny-katowice/protetyka/licowki-porcelanowe/. A może boisz się bólu? Zupełnie niepotrzebnie. Zabieg zakładania licówek porcelanowych jest zupełnie bezbolesny. W dodatku może być wykonywany u osób niemal w każdym wieku! Podstawowym warunkiem, jaki trzeba spełniać to brak większych wypełnień zębów, których wygląd chcesz odmienić.
Protetyk zamiast ortodonty
Jeśli Twoim problemem są stłoczone, nierówne zęby, a na samą myśl o aparacie ortodontycznym dostajesz gęsiej skórki, licówki porcelanowe mogą okazać się dla Ciebie doskonałym rozwiązaniem. Często bolesne, długotrwałe leczenie u ortodonty być może zastąpić będzie można nowymi frontami wybranych zębów. Skonsultuj się ze specjalistą, aby uzyskać poradę, jaki sposób leczenia będzie dla Ciebie najbardziej odpowiedni. Być może okaże się, że z powodzeniem możesz uniknąć leczenia ortodontycznego, korygując zgryz za pomocą licówek porcelanowych.
Licówki porcelanowe to bezbolesny sposób na odmianę uśmiechu, który nie wymaga wyrzeczeń. Ogromna dowolność w dopasowywaniu koloru i kształtu sprawia, że wielu pacjentów znów zaczyna szeroko się uśmiechać. (edited)


















Komentarze